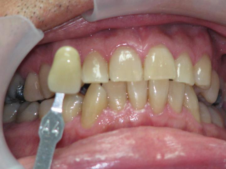
La técnica utilizada en nuestra clínica ofrece buenos resultados. El procedimiento dura 45 minutos y para que no exista sensibilidad al final del procedimiento aplicamos flúor.
WWW.ODONTODIGITAL.COM
Si busca un dentista en Miraflores lima Perú, el Dr. Cueva, especialista en estética dental le diseñara su sonrisa. Si cuenta con algún tipo de seguro Dental del extranjero contamos con los formularios por lo que usted podrá solicitar el reembolso de su dinero ya que estos seguros de salud permiten elegir el médico en cualquier parte del mundo con el reembolso de los gastos. Visítenos en odontodigital.com, cel. 991216060. WE SPEAK ENGLISH.
No hay comentarios:
Publicar un comentario